جراحی ایمپلنت دندان، از مشاوره تا لبخند جدید: مراحل کاشت ایمپلنت دندان به زبان ساده
رویای لبخندی دوباره، واقعیتی علمی
لبخند شما نخستین پیامی است که به جهان ارسال میکنید. دندانهای از دست رفته نه تنها زیبایی این پیام را کمرنگ میکنند، بلکه سلامت، اعتماد به نفس و کیفیت زندگی شما را تحت تأثیر قرار میدهند. در گذشته، گزینههای محدودی مانند بریج یا پروتز متحرک وجود داشت. اما امروز، جراحی ایمپلنت دندان انقلابی در دندانپزشکی ترمیمی ایجاد کرده است. ایمپلنتها راهحلی پایدار، طبیعی و تقریباً دائمی برای جایگزینی دندانهای از دست رفته ارائه میدهند.
اما سؤال اصلی اینجاست: مراحل کاشت ایمپلنت دندان دقیقاً شامل چه مواردی است؟ آیا این فرآیند پیچیده و دردناک است؟ این مقاله جامع، شما را قدم به قدم، از مرحله مشاوره اولیه تا روزی که با لبخندی جدید و طبیعی از مطب خارج میشوید، همراهی میکند. ما این سفر را به زبانی ساده، شفاف و بر پایه آخرین استانداردهای علمی توضیح خواهیم داد.
ایمپلنت دندان چیست و چرا گزینهای برتر محسوب میشود؟
جراحی ایمپلنت دندان در یک نگاه
ایمپلنت دندان در واقع یک ریشه دندان مصنوعی از جنس تیتانیوم خالص است. این ماده به دلیل سازگاری زیستی فوقالعاده با بدن انسان، به استخوان فک جوش میخورد (پدیدهای به نام “استئواینتگریشن”). پس از این پیوند استخوانی، یک تاج دندان سرامیکی مشابه دندان طبیعی روی آن سوار میشود. نتیجه نهایی، دندانی مستقل، محکم و شبیه به دندان اصلی شماست.
مزایای کلیدی ایمپلنت نسبت به روشهای سنتی
حفظ استخوان فک: هنگامی که دندان را از دست میدهید، استخوان آن ناحیه به مرور تحلیل میرود. ایمپلتن با تقلید از ریشه دندان، نیرو را به استخوان منتقل کرده و از تحلیل آن جلوگیری میکند.
عدم نیاز به تراش دندانهای مجاور: برخلاف بریج که نیاز به تراش دندانهای سالم کناری دارد، ایمپلتن یک واحد مستقل است و سلامت دندانهای دیگر را حفظ میکند.
پایداری و دوام: با مراقبت مناسب، ایمپلنتها میتوانند مادامالعمر خدمت کنند. نرخ موفقیت آن طبق مطالعات بالینی بیش از 95% برای فک پایین و 90% برای فک بالا گزارش شده است (منبع: انجمن دندانپزشکی آمریکا).
احساس و عملکرد طبیعی: شما میتوانید با اطمینان کامل هر غذایی را بجوید و لبخند بزنید، بدون نگرانی از حرکت یا صدا دادن پروتز.
سلامت بلندمدت لثه و استخوان: طراحی ایمپلنت سلامت بافتهای اطراف را بهتر حفظ میکند.

سفر ایمپلنت شما: از مشاوره تا عمل
فرآیند کاشت ایمپلنت یک مسیر برنامهریزی شده و دقیق است که موفقیت آن به برنامهریزی اولیه وابسته است.
گام صفر: مشاوره تخصصی و تشخیص
اولین و حیاتیترین قدم، مراجعه به دندانپزشک متخصص ایمپلنت (پریودنتیست یا جراح دهان و فک و صورت) است. در این جلسه:
دندانپزشک سوابق پزشکی کامل شما (بیماریهایی مانند دیابت، پوکی استخوان، مصرف سیگار) را بررسی میکند.
معاینه دقیق بالینی دهان و دندانهای شما انجام میشود.
تصویربرداری تخصصی به کار گرفته میشود. امروزه سیتیاسکن سهبعدی استاندارد طلایی است. این تصاویر اطلاعات حیاتی درباره کیفیت، کمیت و تراکم استخوان فک و موقعیت ساختارهای مهمی مانند عصب و سینوس را در اختیار تیم درمان قرار میدهد.
دندانپزشک بر اساس این دادهها، یک طرح درمان شخصیسازی شده برای شما ارائه میدهد. این طرح شامل تعداد ایمپلنت مورد نیاز، زمانبندی مراحل، نیاز احتمالی به پیوند استخوان و برآورد هزینه میشود.
گام اول: آمادهسازی و رسیدن به سلامت پایه
سلامت دهان شرط موفقیت ایمپلنت است. بنابراین ممکن است قبل از جراحی نیاز به اقداماتی مانند جرمگیری عمقی، درمان عفونت لثه (پریودنتیت) یا کشیدن دندانهای غیرقابل نگهداری داشته باشید. همچنین اگر استخوان فک به دلیل مدت طولانی بیدندانی تحلیل رفته باشد، نیاز به پیوند استخوان خواهید داشت.
مراحل کاشت ایمپلنت دندان: روز جراحی و پس از آن
مرحله جراحی: قرار دادن فیکسچر (ریشه تیتانیومی)
این مرحله معمولاً تحت بیحسی موضعی انجام میشود و شما دردی احساس نخواهید کرد. برای افراد با استرس زیاد یا موارد سخت، امکان استفاده از آرامبخش یا حتی بیهوشی عمومی نیز وجود دارد.
- دندانپزشک پس از بیحسی، یک برش کوچک در لثه ایجاد میکند تا به استخوان فک دسترسی پیدا کند.
- با دریلهای مخصوص و با دقت بسیار بالا، حفرهای در استخوان مطابق با قطر و طول ایمپلنت انتخابی ایجاد میکند.
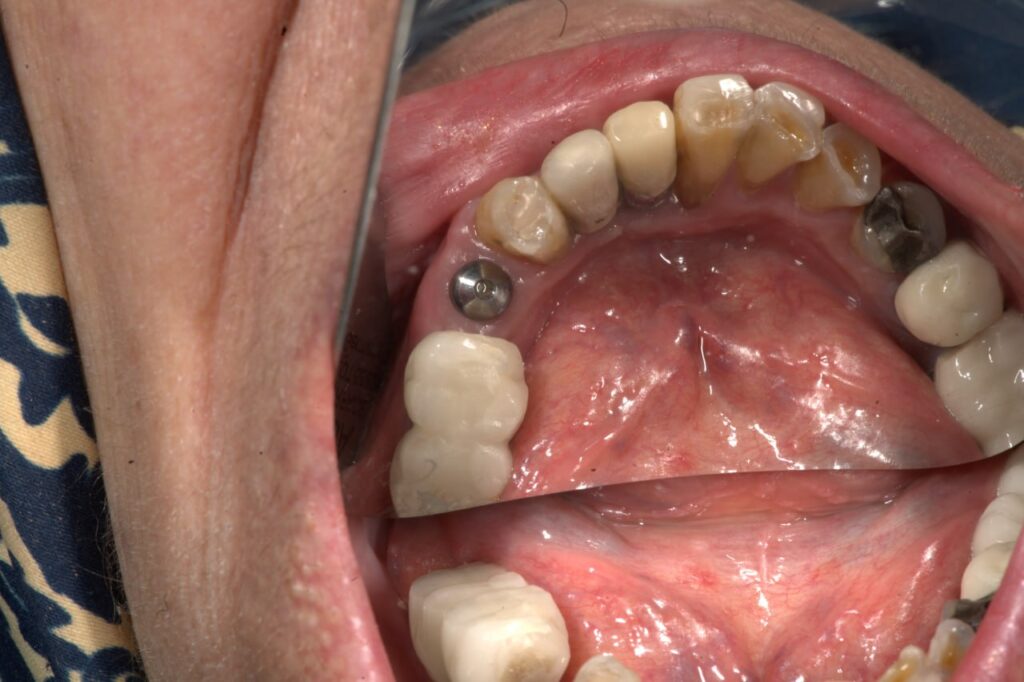
- فیکسچر تیتانیومی به آرامی در این حفره قرار میگیرد.
- در بسیاری از موارد، یک هیلینگ اباتمنت موقت روی فیکسچر پیچ میشود و لثه بخیه میشود. این قطعه به ترمیم صحیح لثه در اطراف ایمپلنت کمک میکند.
مدت زمان جراحی: برای کاشت یک ایمپلنت ساده حدود ۳۰ تا ۶۰ دقیقه زمان نیاز است.
مرحله التیام و ادغام استخوانی (Osseointegration)
پس از جراحی، مهمترین مرحله بیولوژیکی آغاز میشود. سلولهای استخوان ساز به سطح تیتانیومی ایمپلنت جذب و به مرور زمان استخوان جدید در تماس با آن تشکیل میدهند. این فرآیند ایمپلنت را به قسمتی جداییناپذیر از فک شما تبدیل میکند.
مدت زمان ادغام استخوانی: در فک پایین معمولاً ۲ تا ۳ ماه و در فک بالا (به دلیل تراکم استخوان کمتر) ۳ تا ۶ ماه طول میکشد.
در این دوره شما از یک پروتز موقت (پل یا دنچر متحرک) برای پوشش فضای بیدندانی استفاده خواهید کرد.
مرحله قالبگیری و ساخت تاج دائمی
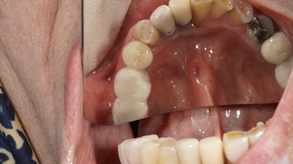
پس از تأیید ادغام استخوانی با یک عکس رادیوگرافی ساده، مرحله ساخت دندان مصنوعی آغاز میشود.
- هیلینگ اباتمنت برداشته میشود.
- از ناحیه ایمپلنت قالب دیجیتال یا فیزیکی گرفته میشود.
- بر اساس این قالب، اباتمنت نهایی (اتصال بین ایمپلنت و تاج) و تاج دندان سرامیکی در لابراتوار تخصصی ساخته میشود. رنگ تاج با دقت با رنگ دندانهای مجاور شما هماهنگ میشود.
مرحله نهایی: تحویل لبخند جدید شما
در آخرین جلسه، دندانپزشک اباتمنت نهایی را به ایمپلنت متصل کرده و تاج سرامیکی را روی آن محکم میکند. پس از بررسی نحوه تماس دندان با دندانهای مقابل و راحتی شما، لبخند جدید شما کامل میشود.

مراقبتهای پس از جراحی و نکات حیاتی
مراقبتهای کوتاهمدت پس از جراحی
استفاده از کمپرس سرد برای کاهش تورم.
مصرف آنتیبیوتیک و مسکن.
تغذیه با غذاهای نرم و سرد در روزهای اول.
پرهیز از سیگار و مصرف نوشیدنیهای داغ.
شستوشوی دهان با سرم نمکی (آبنمک) طبق دستور.
مراقبتهای بلندمدت برای ماندگاری ایمپلنت
ایمپلنتها نیز مانند دندانهای طبیعی نیاز به مراقبت دارند:
مسواک روزانه با مسواک نرم.
استفاده از نخ دندان مخصوص ایمپلنت (سوپرفلاس) یا برسهای بین دندانی.
معاینه دورهای هر ۶ ماه توسط دندانپزشک برای بررسی سلامت ایمپلنت و لثه اطراف آن.
پاسخ به سؤالات متداول
هزینه جراحی ایمپلنت دندان چقدر است؟
هزینه بر اساس تعداد ایمپلنتها، نیاز به پیوند استخوان، برند ایمپلنت، تخصص دندانپزشک و منطقه جغرافیایی متغیر است. این سرمایهگذاری بلندمدت در سلامت و کیفیت زندگی شماست.
آیا ایمپلنت درد دارد؟
خیر. در حین عمل با بیحسی، دردی احساس نمیکنید. پس از عمل نیز ناراحتی خفیفی وجود دارد که با مسکنهای رایج قابل کنترل است و معمولاً پس از ۲-۳ روز برطرف میشود.
آیا امکان کاشت فوری دندان وجود دارد؟
در برخی موارد خاص و با شرایط مناسب (کیفیت عالی استخوان)، میتوان بلافاصله پس از کشیدن دندان، ایمپلنت را جایگزین کرد و حتی یک تاج موقت روی آن قرار داد. این روش نیازمند ارزیابی بسیار دقیق است.
محدودیت سنی برای ایمپلنت وجود دارد؟
خیر. شرط اصلی، توقف رشد فک (حدود ۱۸ سالگی) و داشتن سلامت عمومی مناسب است. افراد سالمند نیز کاندیدای بسیار خوبی برای ایمپلنت هستند.

نتیجهگیری: سرمایهگذاری برای یک عمر اعتماد به نفس
جراحی ایمپلنت دندان امروزه یک روش قابل پیشبینی، کمخطر و با موفقیت بسیار بالا است. درک مراحل کاشت ایمپلنت دندانها ترس شما را از بین میبرد و شما را برای این سفر مهیا میکند. این فرآیند نه تنها یک دندان، بلکه توانایی بلع، زیبایی لبخند، سلامت استخوان و مهمتر از همه، اعتماد به نفس را به شما بازمیگرداند.
اگر شما نیز دندانهای از دست رفتهای دارید و به فکر بازیابی لبخند و عملکرد طبیعی خود هستید، همین امروز قدم اول را بردارید. مشاوره تخصصی نقطه آغاز این مسیر است. برای دریافت نوبت مشاوره و بررسی شرایط خاص خود با کلینیک ما تماس بگیرید. متخصصان ما پس از معاینه دقیق و تصویربرداری پیشرفته، تمام گزینههای موجود را به شما ارائه خواهند داد و پاسخگوی سؤالات شما خواهند بود. اجازه ندهید ترس از ناشناختهها، شما را از داشتن لبخندی زیبا و سالم محروم کند. برای تعیین وقت مشاوره همین حالا اقدام کنید.
