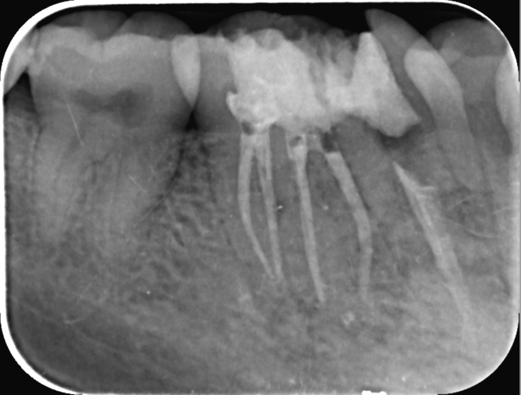
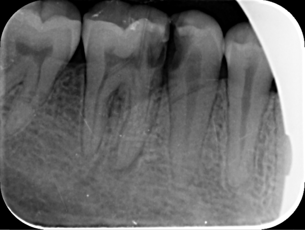
درمان مجدد ریشه یکی از فرآیندهای مهم در دندانپزشکی است که به ترمیم و نجات دندان‌های آسیب‌دیده کمک می‌کند. این روش به ویژه برای دندان‌هایی که قبلاً تحت درمان ریشه قرار گرفته‌اند و هنوز درد یا عفونت دارند، ضروری است. در این مقاله، به بررسی جامع درمان مجدد ریشه، مراحل آن، علل نیاز به این درمان، و نکات مهم مرتبط خواهیم پرداخت.

درمان مجدد ریشه چیست؟

درمان مجدد ریشه (Endodontic retreatment) یک روش دندانپزشکی است که برای ترمیم دندان‌هایی که قبلاً تحت درمان ریشه قرار گرفته‌اند، اما هنوز مشکلاتی مانند عفونت یا درد دارند، انجام می‌شود. این فرآیند شامل حذف مواد پرکننده قبلی، پاکسازی کانال‌های ریشه و پر کردن مجدد آن‌ها است.

علل نیاز به درمان مجدد ریشه

عفونت مجدد

یکی از شایع‌ترین دلایل نیاز به درمان مجدد ریشه، عفونت مجدد است. اگر باکتری‌ها دوباره به کانال ریشه وارد شوند، می‌توانند باعث ایجاد عفونت جدید شوند.

 شکست در درمان اولیه

در برخی موارد، درمان اولیه ممکن است به درستی انجام نشده باشد. این می‌تواند ناشی از عدم دسترسی به تمام کانال‌های ریشه یا استفاده از مواد پرکننده نامناسب باشد.

 مشکلات ساختاری

شکستگی یا ترک خوردگی دندان می‌تواند باعث ورود باکتری‌ها به کانال ریشه شود. این مشکلات ساختاری معمولاً نیاز به درمان مجدد را ایجاد می‌کنند.

 بیماری‌های لثه

بیماری‌های لثه نیز می‌توانند بر روی سلامت دندان تأثیر بگذارند و نیاز به درمان مجدد ریشه را افزایش دهند.

نکات مهم پس از درمان مجدد ریشه

مراقبت‌های خانگی

پس از درمان، بیماران باید مراقبت‌های خانگی مناسبی داشته باشند. این شامل اجتناب از غذاهای سخت و داغ در روزهای اول پس از درمان است.

 پیگیری‌های منظم

بیماران باید پیگیری‌های منظم با دندانپزشک خود داشته باشند تا وضعیت دندان را بررسی کنند و هرگونه مشکل جدید را شناسایی کنند.

 رعایت بهداشت دهان

رعایت بهداشت دهان و دندان بسیار مهم است. مسواک زدن منظم و استفاده از نخ دندان می‌تواند به جلوگیری از عفونت‌های جدید کمک کند.

استراحت و مراقبت:

به مدت 24 ساعت بعد از درمان، از فعالیت‌های سنگین و ورزش‌های شدید خودداری کنید.

رژیم غذایی:

از خوردن غذاهای سخت و چسبنده تا زمانی که دندان به طور کامل ترمیم نشده است، خودداری کنید.

در روزهای اول، غذاهای نرم و سرد (مانند ماست یا پوره) مصرف کنید.

مسکن‌ها:

در صورت نیاز، از مسکن‌هایی که دندانپزشک تجویز کرده استفاده کنید تا درد یا ناراحتی کاهش یابد.

بهداشت دهان:

به آرامی دندان‌های خود را مسواک بزنید و از دهان‌شویه‌های غیر الکلی استفاده کنید.

از کشیدن نخ دندان در ناحیه درمان شده تا زمانی که دندان به طور کامل ترمیم نشده است، خودداری کنید.

نظارت بر علائم:

در صورت بروز درد شدید، تورم یا عفونت (تب، ترشح از دندان)، به دندانپزشک مراجعه کنید.

پیگیری و ویزیت‌های بعدی:

جلسات پیگیری را فراموش نکنید تا دندانپزشک بتواند روند بهبودی را بررسی کند.

اجتناب از سیگار و الکل:

این مواد می‌توانند روند بهبودی را مختل کنند و باید تا حد امکان از آن‌ها دوری کنید.

رعایت این نکات می‌تواند به شما کمک کند تا فرآیند بهبودی را تسریع کنید و از مشکلات احتمالی جلوگیری نمایید.

 درمان مجدد ریشه یک روش مؤثر برای نجات دندان‌هایی است که مشکلاتی مانند عفونت یا درد دارند. با توجه به مزایا و معایب این روش، بیماران باید با دندانپزشک خود مشورت کنند تا بهترین گزینه برای سلامت دهان و دندان خود را انتخاب کنند.

اگر شما هم از درد یا مشکلات مرتبط با دندان‌های خود رنج می‌برید، حتماً با یک دندانپزشک متخصص مشورت کنید. برای اطلاعات بیشتر و مشاوره تخصصی، با ما تماس بگیرید. سلامت دندان‌های شما اولویت ماست!

مراحل انجام درمان مجدد ریشه در دندانپزشکی به طور کامل

درمان مجدد ریشه یکی از فرآیندهای مهم در دندانپزشکی است که به ترمیم و نجات دندان‌هایی که قبلاً تحت درمان ریشه قرار گرفته‌اند، اما هنوز مشکلاتی مانند عفونت یا درد دارند، کمک می‌کند. این مقاله به بررسی دقیق مراحل انجام درمان مجدد ریشه، علل نیاز به این درمان و نکات مهم در این زمینه می‌پردازد. هدف ما افزایش آگاهی شما درباره این فرآیند و کمک به شما برای تصمیم‌گیری آگاهانه در مورد سلامت دندان‌هایتان است.

 درمان مجدد ریشه (Endodontic retreatment) یک روش دندانپزشکی است که به ترمیم دندان‌هایی که قبلاً تحت درمان ریشه قرار گرفته‌اند، اما هنوز مشکلاتی دارند، کمک می‌کند. این مشکلات ممکن است شامل عفونت مجدد، درد یا شکستگی دندان باشد. در این فرآیند، دندانپزشک مواد پرکننده قبلی را حذف کرده و کانال‌های ریشه را دوباره پاکسازی و پر می‌کند.

مراحل انجام درمان مجدد ریشه

مشاوره اولیه

 

در ابتدا، دندانپزشک یک معاینه کامل انجام می‌دهد و با استفاده از تصاویر اشعه ایکس، وضعیت دندان را بررسی می‌کند. این مرحله برای تعیین نیاز به درمان مجدد و برنامه‌ریزی مراحل بعدی حیاتی است. در این جلسه، دندانپزشک ممکن است سوالاتی درباره تاریخچه پزشکی و دندانی بیمار بپرسد.

 

 بی‌حسی موضعی

 

برای کاهش درد و ناراحتی، معمولاً از بی‌حسی موضعی استفاده می‌شود. این امر باعث راحتی بیمار در طول درمان می‌شود. بی‌حسی موضعی معمولاً چند دقیقه قبل از شروع درمان انجام می‌شود تا بیمار احساس راحتی بیشتری داشته باشد.

 

 حذف مواد پرکننده قبلی

 

در این مرحله، دندانپزشک مواد پرکننده قبلی را از کانال‌های ریشه خارج می‌کند. این فرآیند ممکن است نیاز به ابزارهای خاصی داشته باشد تا کانال‌ها به طور کامل تمیز شوند. حذف مواد پرکننده قبلی مرحله‌ای حساس است که باید با احتیاط انجام شود تا آسیب به بافت‌های اطراف کاهش یابد.

 

 پاکسازی و شکل‌دهی کانال‌ها

 

پس از حذف مواد پرکننده، کانال‌ها باید به طور کامل پاکسازی و شکل‌دهی شوند. این مرحله شامل استفاده از محلول‌های ضدعفونی‌کننده و ابزارهای خاص است. هدف از این مرحله حذف هر گونه باکتری و بافت مرده از کانال‌هاست.

 

 بررسی مجدد وضعیت دندان

 

پس از پاکسازی، دندانپزشک دوباره وضعیت دندان را بررسی می‌کند تا اطمینان حاصل کند که تمام عفونت‌ها و باکتری‌ها از بین رفته‌اند. در این مرحله ممکن است دوباره تصاویر اشعه ایکس گرفته شود.

 

 پر کردن مجدد کانال‌ها

 

پس از پاکسازی، کانال‌های ریشه با مواد جدید پر می‌شوند. این مواد معمولاً شامل گوتاپرکا و سیمان است که به منظور جلوگیری از ورود باکتری‌ها طراحی شده‌اند. پر کردن صحیح کانال‌ها یکی از کلیدی‌ترین مراحل در موفقیت درمان مجدد ریشه است.

 

 ترمیم نهایی

 

پس از اتمام درمان مجدد، ممکن است نیاز به ترمیم نهایی دندان باشد. این ترمیم می‌تواند شامل قرار دادن تاج یا پر کردن دندان باشد. ترمیم نهایی باعث تقویت ساختار دندان و جلوگیری از مشکلات آینده می‌شود.

مزایا و معایب درمان مجدد ریشه در دندانپزشکی

درمان مجدد ریشه (Endodontic retreatment) یکی از روش‌های مهم در دندانپزشکی است که به منظور نجات دندان‌هایی که قبلاً تحت درمان ریشه قرار گرفته‌اند، انجام می‌شود. این روش به ویژه زمانی مورد نیاز است که دندان پس از درمان اولیه همچنان دچار عفونت یا درد باشد. در این مقاله به بررسی مزایا و معایب درمان مجدد ریشه می‌پردازیم و نکات مهمی را در این زمینه ارائه خواهیم داد.

درمان مجدد ریشه یک فرآیند تخصصی است که به ترمیم دندان‌هایی که قبلاً تحت درمان ریشه قرار گرفته‌اند، اما هنوز مشکلاتی دارند، کمک می‌کند. این مشکلات ممکن است شامل عفونت مجدد، درد یا عدم موفقیت در درمان اولیه باشد. در این روش، دندانپزشک با استفاده از ابزارهای خاص، مواد پرکننده قبلی را حذف کرده و کانال‌های ریشه را دوباره پاکسازی و پر می‌کند.

مزایای درمان مجدد ریشه

  1. نجات دندان

یکی از بزرگ‌ترین مزایای درمان مجدد ریشه، نجات دندان است. این روش می‌تواند از کشیدن دندان جلوگیری کند و به بیمار این امکان را می‌دهد که از دندان طبیعی خود بهره‌مند شود. طبق آمار، تقریباً 90 درصد از دندان‌ها پس از درمان مجدد ریشه موفقیت‌آمیز باقی می‌مانند.

  1. کاهش درد و ناراحتی

درمان مجدد ریشه معمولاً باعث کاهش درد و ناراحتی بیمار می‌شود. با پاکسازی عفونت و باکتری‌ها از کانال‌های ریشه، بیمار احساس راحتی بیشتری خواهد داشت. بسیاری از بیماران گزارش می‌دهند که پس از درمان مجدد، درد آن‌ها به طور قابل توجهی کاهش یافته است.

  1. بهبود سلامت دهان

با انجام درمان مجدد ریشه، سلامت کلی دهان بهبود می‌یابد. عفونت‌های باقی‌مانده می‌توانند بر روی سایر دندان‌ها و لثه‌ها تأثیر منفی بگذارند، اما با پاکسازی کامل کانال‌ها، این خطر کاهش می‌یابد.

  1. قابلیت ترمیم ساختار دندان

پس از درمان مجدد ریشه، دندان‌پزشک می‌تواند ساختار دندان را با استفاده از تاج یا پر کردن مناسب تقویت کند. این امر باعث می‌شود که دندان بهتر عمل کند و طول عمر آن افزایش یابد.

  1. گزینه‌ای برای افرادی که نمی‌خواهند دندان خود را بکشند

بسیاری از بیماران تمایل دارند تا حد امکان از کشیدن دندان خود جلوگیری کنند. درمان مجدد ریشه یک گزینه عالی برای افرادی است که نمی‌خواهند دندان خود را از دست بدهند و به دنبال حفظ آن هستند.

 معایب درمان مجدد ریشه

  1. درد و ناراحتی موقت

مانند هر روش دیگر در دندانپزشکی، درمان مجدد ریشه نیز ممکن است با درد و ناراحتی همراه باشد. برخی بیماران ممکن است پس از درمان احساس ناراحتی کنند که معمولاً با مسکن‌ها قابل کنترل است.

  1. هزینه بالا

هزینه درمان مجدد ریشه ممکن است بالاتر از درمان اولیه باشد. این هزینه‌ها به دلیل نیاز به ابزارهای خاص و زمان بیشتری که پزشک صرف می‌کند، افزایش می‌یابد. طبق آمار، هزینه درمان مجدد ریشه ممکن است بین 500 تا 1500 دلار متغیر باشد.

  1. نیاز به چند جلسه درمان

در برخی موارد، درمان مجدد ممکن است نیاز به چند جلسه داشته باشد که این موضوع می‌تواند زمان‌بر باشد. بیماران باید برای چندین جلسه وقت بگذارند و این ممکن است برای برخی افراد مشکل‌ساز باشد.

  1. عدم تضمین موفقیت

هرچند که درصد موفقیت درمان مجدد ریشه بالا است، اما هیچ تضمینی وجود ندارد که درمان موفقیت‌آمیز باشد. در برخی موارد، ممکن است نیاز به کشیدن دندان باشد.

  1. عوارض جانبی احتمالی

برخی بیماران ممکن است عوارض جانبی مانند عفونت‌های جدید یا واکنش‌های آلرژیک به مواد استفاده شده در درمان را تجربه کنند. این عوارض معمولاً نادر هستند اما باید در نظر گرفته شوند.

نکات مهم برای انتخاب درمان مجدد ریشه

مشاوره با دندانپزشک متخصص

قبل از تصمیم‌گیری درباره درمان مجدد ریشه، مشاوره با یک دندانپزشک متخصص ضروری است. پزشک می‌تواند وضعیت دندان شما را بررسی کرده و بهترین گزینه‌ها را پیشنهاد دهد.

 بررسی تاریخچه پزشکی

تاریخچه پزشکی شما می‌تواند تأثیر زیادی بر روی نتیجه درمان داشته باشد. به همین دلیل، باید تمامی اطلاعات مربوط به وضعیت سلامت خود را با پزشک در میان بگذارید.

 انتخاب یک کلینیک معتبر

انتخاب یک کلینیک معتبر و دارای تجربه در زمینه درمان‌های اندودنتیک (درمان‌های مربوط به کانال ریشه) بسیار مهم است. این موضوع می‌تواند بر روی کیفیت درمان تأثیر بگذارد.

 

درمان مجدد ریشه یک روش مؤثر برای نجات دندان‌هایی است که مشکلاتی مانند عفونت یا درد دارند. با توجه به مزایا و معایب این روش، بیماران باید با دندانپزشک خود مشورت کنند تا بهترین گزینه برای سلامت دهان و دندان خود را انتخاب کنند.

اگر شما هم از درد یا مشکلات مرتبط با دندان‌های خود رنج می‌برید، حتماً با یک دندانپزشک متخصص مشورت کنید. برای اطلاعات بیشتر و مشاوره تخصصی، با ما تماس بگیرید. سلامت دندان‌های شما اولویت ماست!

اطلاعات مطب

نظر (1)

  1. Eloise
    آوریل 16, 2025

    I am extremely impressed together with your writing abilities as smartly as with the
    format to your blog. Is that this a paid subject or did you customize it
    your self? Anyway keep up the excellent high quality writing, it’s rare to see a nice weblog like this one these days.

    LinkedIN Scraping!

    Also visit my web blog Trudie

نظر بدهید

نشانی ایمیل شما منتشر نخواهد شد. بخش‌های موردنیاز علامت‌گذاری شده‌اند *